Teeth Whitening

THE FASTEST METHOD

Laser Teeth Whitening

Laser teeth whitening allows us to whiten your teeth for as much as 8 shades in just one visit.

The process starts with protecting the gums and lips so that only the teeth are exposed during the procedure. A bleaching gel is applied and lightened with a laser to speed up the whitening process. The results are pearly-white teeth.

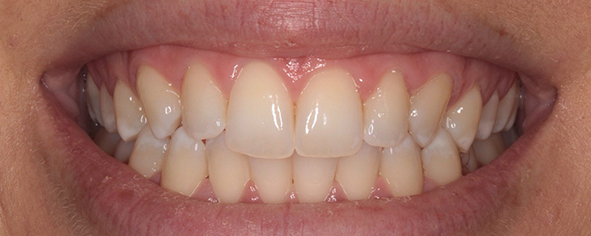
Before
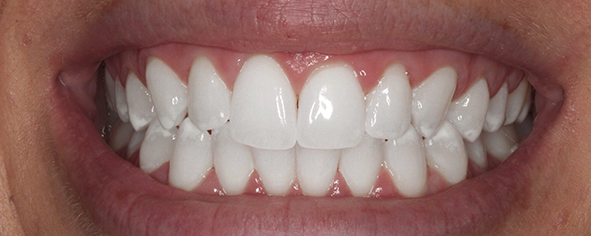
After

Patients Teeth Before & After Teeth Whitening

8 Shades Whiter Smile

Minimal Irritation

Only One visit

+20 12 1111 74 09

Позвоните нам сегодня!

Записаться на прием

appointment@eldentista-redsea.com

Перед египетской больницей

Хургада, Красное море, Египет.